Welcome to Our New Blog!

Here at The Smile Team, we endeavor to use our new blog as a regular means for publishing valuable content for our community through monthly blog posts. Thanks to the wonders of the Internet, we’re able to further explore some of the most important topics pertaining to our industry and area of expertise here on our website through these articles.... read more »

WHY YOU SHOULDN’T BRUSH TOO HARD 

Brushing your teeth  is important, but  brushing too hard  can actually do more harm than good. Many people think scrubbing harder means cleaner teeth but that’s not true.  In reality, brushing too aggressively can damage your teeth and gums over time.  What Happens When You Brush Too Hard  Enamel wear  Your enamel is strong but not indestructible. Brushing too hard... read more »

Why Chewing Ice Is Bad for Your Teeth 

Chewing ice might feel  harmless, especially on a  hot day, but it can  actually damage your  teeth. Many people think  ice is safe because it’s just frozen water but your teeth don’t see it that way. Over time, chewing ice can lead to real dental problems.  What Happens When You Chew Ice  Risk of chipped or cracked teeth  Ice is... read more »

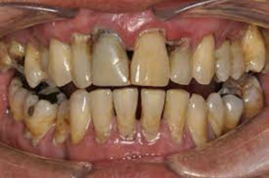
What Happens If Plaque Isn’t Removed 

  Plaque is a soft, sticky film of  bacteria that constantly  forms on your teeth. If it isn’t  removed daily by brushing  and flossing, it can lead to  several dental problems. At  first, plaque may not seem  like a big deal but over time,  it can cause serious damage to your teeth and gums.  At first, plaque may not seem... read more »

CANADIAN DENTAL CARE PLAN: DO YOU QUALIFY ?

  The canadian dental  care plan (CDCP) is a  government program that helps make  sental care more  offortable for people who dont have dental insurance. Many families in canada can nowget help paying for cleaning, checkups, andother impertant dental treatments.  who qualifies?  you may qualify for the canadian dental careplan if you meet all of these requirenment:  - you dont... read more »

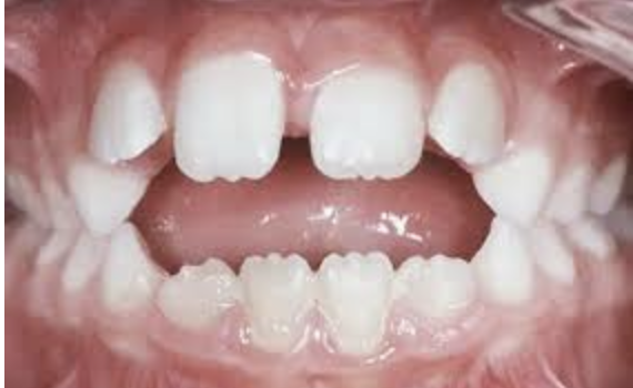
HOW YOUR TEETH CHANGE AS YOU AGE

Your teeth don't stay  the same your whole  life; they go through changes as you grow. Knowing what happens at each stage can help you take better care of them.  Baby Teeth  we start at baby teeth, also called primary teeth. They usually appear around 6 months old and help kids chew, speak, and hold spaces for adult teeth. Baby... read more »

WHY BABY TEETH ARE  MORE IMPORTANT THAN WE THINK 

Many people think baby teeth  are not very important  because they eventually fall out. But the truth is, baby teeth are actually very important for your child’s health and growth.  Baby teeth help children chew food properly, speak clearly, and hold space for their adult teeth. If baby teeth are not cared for, it can lead to pain, infection, and... read more »

WHY FLUORIDE IS IMPORTANT FOR YOU TEETH 

Fluoride is a natural mineral  that helps keep your teeth  strong and protected.  You’ve probably seen it in toothpaste or heard your dentist talk about it and that’s because fluoride plays a big role in preventing cavities.  What Does Fluoride Do?  Fluoride helps in three main ways:  Strengthens enamel  Tooth enamel is the hard outer layer of your teeth. Fluoride... read more »

IS MOUTHWASH NECESSARY OR OPTIONAL? 

Many people use  mouthwash as part of  their daily routine, but is  it actually necessary? The truth is, mouthwash can be helpful, but it is usually optional for most people.  Brushing and flossing are the most important steps for keeping your teeth and gums healthy. Mouthwash is more like a bonus that can give extra support.  What Mouthwash Can Help... read more »

HOW SNACKING ALL DAY AFFECTS YOUR TEETH 

  Snacking throughout  the day might seem  harmless, but it can take a toll on your teeth. Every time you eat, the bacteria in your mouth feed on sugars and produce acids that attack your enamel. If you snack frequently, your teeth don’t get enough time to recover between these acid attacks.  Why Frequent Snacking Is a Problem  - More... read more »

WHY DENTAL X-RAYS ARE IMPORTANT 

  Dental X-rays are an  important part of  keeping your teeth  and gums healthy.  Even though your dentist can see a lot during a regular exam, some problems can hide beneath the surface. X-rays help dentists find issues early before they become bigger and more painful.  What Dental X-Rays Show  Dental X-rays allow your dentist to see things that aren’t... read more »