WHAT CAUSES WHITE SPOTS ON TEETH 

White spots on teeth  are common and can  appear in both  children and adults. They may look harmless, but sometimes they are a sign that your enamel needs attention.  The good news is that many causes of white spots are preventable and treatable.  Common Causes of White Spots  Early tooth decay  One of the most common causes is the early... read more »

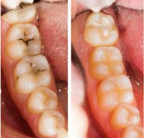
YOU SHOULD VISIT THE DENTIST EVERY SIX MONTHS

Visiting a dentist at least twice a year (every six months) to monitor your oral health and spot signs of cavity or gum, disease in early stages before serious infection, gum disease, bleeding that is harder to fix when its to late. Why waiting for your teeth to start hurting to go to the dentist is a bad idea? Waiting... read more »

WHY YOU SHOULD WEAR A MOUTHGUARD

A sports mouthguard protects the teeth, gums, and jaw during athletic activities by cushioning impacts and reducing injury risk. It also forms a barrier to prevent cuts to oral tissues and stabilizes the jaw when properly fitted. are especially useful for athletes with dental work or previous injuries, offering support for loose teeth and minimizing pain or complications. How a... read more »

WHY FLOSSING IS IMPORTANT AS BRUSHING

Most people brush their teeth everyday but many skip flossing. Brushing cleans the front and back of your teeth, but it cannot reach between them. That is why flossing is just as important for keeping your mouth healthy. What brushing does: Brushing your teeth helps remove plaque and food from the surfaces of your teeth. It also helps freshen your... read more »

WHAT HELPS WITH TOOTH SENSITIVITY?

If you have sensitive teeth, you can try   using special toothpaste, a soft   toothbrush, and fluoride treatments.   Eating less acidic foods, brushing   gently, and using a mouthguard if you   grind your teeth can help, too. Your   dentist might suggest treatments like   protective coatings, bonding, or gum surgery. It's important to find  out what's causing the sensitivity like worn enamel, receding... read more »

MAKING YOURE CHILDS FIRST VISIT TO THE DENTAL VISIT EASY

Your child’s first dental visit should happen by age one, or within six months of their first tooth coming in. This first check-up is a chance for the dentist to see how your child’s teeth and mouth are growing, spot any early signs of cavities, and show you how to care for your child’s teeth. The dentist will look at... read more »

WHAT FOODS KEEPS YOUR TEETH HEALTHY

Different foods can affect your dental health in various ways some help strengthen your teeth and gums, while others contribute to tooth decay and wear away enamel. Foods that contain a lot of sugar, are acidic, or have sticky textures can damage your teeth. Candies like caramels and lollipops cling to teeth, fueling bacteria. Carbonated and sports drinks combine sugar... read more »

PICKING THE RIGHT BRACES FOR YOUR SMILE

Metal, ceramic, and lingual braces   each offer unique benefits: metal   braces are durable but noticeable,   ceramic braces blend with teeth   though they're more fragile, and   lingual braces are hidden behind   teeth but cost more and can affect the way you talk at first. You can  choose depending in which one you need or can afford.  Metal Braces  Pros:  Metal braces... read more »

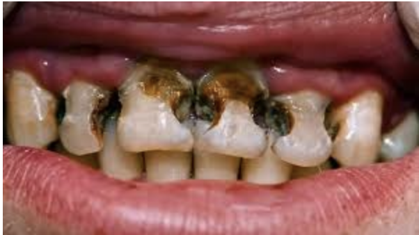
PROTECTING TOUR TEETH  FROM DECAY  

Protecting your teeth from decay   Tooth decay, or dental  caries/cavities, happens  when mouth bacteria break down sugars and starches in food. This  creates plaque, which dissolves the enamel, which is the hard outer  surface of a tooth. As tooth decay progresses, bacteria and acid  breach the enamel, leading to irreversible cavities, white or brown  spots and sensitivity to hot, cold, or... read more »

HOW OFTEN SHOULD YOU REPLACE YOUR TOOTHBRUSH?

HOW OFTEN SHOULD YOU REPLACE YOUR TOOTHBRUSH? Many people remember to brush their teeth every day, but they often forget to replace their toothbrush in time. Using an old toothbrush can make brushing less effective. Replacing your toothbrush regularly helps keep your teeth and gums clean and healthy. Why replacing your toothbrush matter Over time , toothbrush bristled become worn... read more »